Услуги
Прайс
О клинике
Наши работы
Врачи
Акции
Контакты
Записаться на консультацию
+7 953 016-11-12
Чебоксары,
Н. Рождественского, 1
Терапевтическое лечение зубов
Ортодонтия
Детская стоматология
Протезирование
Хирургия и имплантация
Профессиональное отбеливание зубов
Терапевтическое лечение зубов
Лечение кариеса
Лечение под микроскопом
Эстетическая реставрация
Реставрация передних зубов
Ортодонтия
Брекеты
Ортодонтические микроимпланты
Элайнеры
Аппарат Марко Роса
Детская стоматология
Профилактика кариеса у детей
Лечение молочных зубов
Удаление молочных зубов
Протезирование детских зубов
Лечение постоянных зубов под микроскопом
Протезирование
Керамические виниры e-max
Керамические коронки e-max
Керамические вкладки и накладки (Inlay, Onlay, Overlay)
Коронки из диоксида циркония
Установка керамических или циркониевых коронок на импланте
Хирургия и имплантация
Удаление зубов
Пластика десны
Имплантация зубов
Коррекция объема и формы альвеолярного отростка
Синус-лифтинг (открытый, закрытый)
Имплантация зубов по методике All-on-4 или All-on-6
Профессиональное отбеливание зубов
Профессиональная чистка зубов (комплексная)
Профессиональное отбеливание зубов Zoom 4
Профессиональное домашнее отбеливание
О клинике
Вакансии
Услуги
Прайс
О клинике
Наши работы
Врачи
Акции
Контакты
+7 953 016-11-12
ул. Н. Рождественского, 1
Чебоксары, Чувашская республика
Режим работы
с 9:00 до 20:00 Пн-Пт
с 9:00 до 14:00 Сб
Записаться
Главная
Наши работы
Наши работы
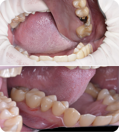
Пересадка зуба мудрости
Работу провел Никандров Александр Васильевич
2025-11-11 16:51
Хирургия и имплантация
Никандров А.В.